用脚做优化(量脚定制3D打印人工踝关节置换术为患者重塑步履新生)

用脚做优化(量脚定制3D打印人工踝关节置换术为患者重塑步履新生)

adminqwq 2026-01-21 社会资讯 1 次浏览 0个评论

来源:【北京大学】

“手术做完,感觉脚好像‘换’了一个似的!”

术后回访时,52岁的李女士笑容满面地说道。就在不久前,她还因左踝关节长达十余年的疼痛与行走困难,几乎对日常生活失去了信心。

不痛的代价只能是失去功能?

十余年来,李女士的左踝关节疼痛反复发作、日益加重,走路成了煎熬。在当地医院,她被诊断为左踝关节重度骨性关节炎,长期保守治疗效果甚微。医生曾建议进行踝关节融合术——这虽能缓解疼痛,却意味着脚踝将永远丧失活动功能。对于尚且年富力强、渴望正常行走与生活的李女士来说,这无疑是一个艰难的选择。

量“脚”定制!3D打印人工踝关节置换术为患者重塑“步履新生”

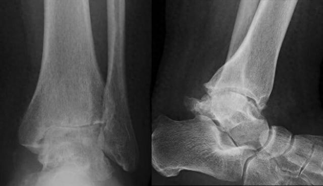
术前X线显示踝关节间隙消失,软骨下骨硬化,大量骨赘形成

怀揣最后一线希望,她来到北大医院骨科关节外科。杨昕主任医师接诊后,仔细评估了她的情况:“患者相对年轻,对关节功能要求高。如果直接进行融合,日后膝关节、髋关节的代偿负担会大大增加。我们完全有技术能力为她实施人工踝关节置换,在解除疼痛的同时,最大程度保留关节活动度。”

如何让手术更精准、更微创?

十然而,传统踝关节置换手术依赖术中反复透视和经验性操作,可能存在力线不准、创伤较大、手术时间长等问题。如何让手术更精准、更微创?杨昕主任团队提出了一个创新方案:采用3D打印个性化模板辅助技术完成置换手术。

叙事科普

量“脚”定制!3D打印人工踝关节置换术为患者重塑“步履新生”

踝关节骨性关节炎,常导致患者长期踝关节疼痛和活动严重受限。传统治疗手段效果有限,人工踝关节置换常常获得良好的效果。但通过传统手术工具进行置换手术治疗,容易出现下肢力线不准、术中透视次数多、手术时间长和手术创伤大等缺点。

3D打印模板辅助技术通过个性化设计和精准重建,实现了“量体裁衣”式手术。基于患者CT数据,计算机三维重建后3D打印手术模板引导术中截骨,确保与踝关节不规则的骨形态高度吻合,实现个体化精准匹配,减少骨和软组织损伤和手术出血,实现手术微创化,提升了手术安全性。3D打印辅助技术标志着踝关节置换进入“私人定制”时代,其精准化、微创化和快速康复优势为终末期踝关节骨关节炎患者提供了更优解决方案。

量“脚”定制!3D打印人工踝关节置换术为患者重塑“步履新生”

术前三维设计假体型号和假体位置

量“脚”定制!3D打印人工踝关节置换术为患者重塑“步履新生”

术前3D打印个性化模板

团队基于李女士踝关节的CT数据,在计算机上进行三维重建,精准设计假体型号、位置与截骨方案,并3D打印出与患者骨骼形态高度匹配的个性化手术模板。这个模板如同一位“三维导航员”,在手术中紧密贴合骨面,引导截骨和假体安装,实现了“量脚定制”。

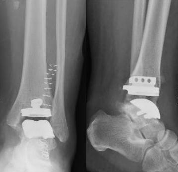
手术进行得非常顺利。术中无需反复透视,截骨精准,假体安放匹配度极高,最大程度保留了健康骨量与软组织。术后X光显示:假体位置良好,下肢力线完美恢复。

量“脚”定制!3D打印人工踝关节置换术为患者重塑“步履新生”

术后X线显示人工踝关节假体大小和对合良好,下肢力线良好

从“融合”到“置换”,从“大致匹配”到“精准定制”,这项技术突破的背后,是骨科关节外科团队在“医工融合”之路上的持续深耕。在骨科主任曹永平的带领下,团队长期整合临床与工程学资源,整合临床专家与工程师资源,开发了抗菌材料和新型抗菌人工关节假体,完成了人工智能辅助术前规划、计算机导航和机器人辅助人工关节置换等高精尖技术,实现从术前规划到术后反馈的全流程优化。

如今,李女士已顺利康复,步履日益稳健。这项首次被实施的技术也标志着北大医院在踝关节疾病治疗上进入了“私人定制”时代 ,为众多终末期踝关节关节炎患者提供了超越传统、重返高质量生活的全新选择。

技术与人文并重,创新与服务同行。骨科关节外科团队将继续秉持以患者为中心的理念,深化技术研发,拓展应用场景,不断突破手术“精度”与“难度”,为更多患者重塑“步履人生”,助力他们迈出新生之路。

图 文:骨科骨关节外科

编 辑:宣传中心

本文来自【北京大学】,仅代表作者观点。全国党媒信息公共平台提供信息发布传播服务。

ID:jrtt

转载请注明来自海坡下载,本文标题:《用脚做优化(量脚定制3D打印人工踝关节置换术为患者重塑步履新生)》

每一天,每一秒,你所做的决定都会改变你的人生!

发表评论

快捷回复:

评论列表 (暂无评论,1人围观)参与讨论

还没有评论,来说两句吧...