蛋白纯化工艺优化(博格隆纯化解析丨多模式层析让重组蛋白纯化更高效更省心)

蛋白纯化工艺优化(博格隆纯化解析丨多模式层析让重组蛋白纯化更高效更省心)

adminqwq 2025-11-20 社会资讯 32 次浏览 0个评论

文章转自博格隆

还在为重组蛋白纯化步骤繁琐、杂质难除、收率低而头疼?告别单一模式束缚,拥抱“多面手”填料——多模式层析,它正在成为生物工艺中的秘密武器!它如何解决你的痛点?快来看看吧!

多模式层析也叫混合模式层析或者复合模式层析,它结合了多种相互作用力,比如离子交换、疏水作用、氢键等。传统的层析方法通常只依赖单一的作用力,比如离子交换主要靠电荷,疏水作用层析主要靠疏水性。而多模式填料的不同之处在于,它的配基设计能同时提供多种作用方式,这样在纯化过程中就能更灵活地应对复杂的样品。

重组蛋白表达后,宿主细胞会有很多杂质,比如宿主蛋白、核酸、内毒素,还有蛋白自身可能聚集形成多聚体。传统的纯化流程可能需要好几步,每一步优化起来较为麻烦,而且收率可能会因为步骤增多而降低。这时候多模式层析的优势就体现出来了,因为它可以整合多种作用力,减少工艺步骤,提高收率。

为什么说它是重组蛋白纯化的“利器”?四大优势直击痛点!

多模式层析纯化重组蛋白的四大优势

优势一:“火眼金睛”——超高选择性

面对结构极其相似的“捣蛋鬼”(如蛋白聚集体、降解碎片、电荷异构体),传统方法可能“傻傻分不清”。多模式填料凭借多重作用力组合,比如Diamond MMC是具有苯环和羧基的复合基团,能更精准地识别并抓牢目标蛋白,轻松甩掉这些难缠杂质,纯度更高!

优势二:“不挑食” ——卓越的耐盐性

纯化前必须稀释或透析样品降低盐浓度?太麻烦!多模式填料的一大亮点就是能在较高盐浓度下工作。

革命性应用:直接捕获! 澄清后的细胞培养上清液(通常盐分高)可以直接上样!省去稀释/缓冲液置换步骤,简化流程、节省时间、降低成本、减少样品损失,收率自然提升。

优势三:“灵活多变”—— 多样的洗脱策略

洗脱目标蛋白不再局限于单一方式(如只靠高盐或pH变化)。通过巧妙调节pH、盐浓度或添加特殊试剂,可以选择性地削弱某一种或几种作用力,实现温和、高效、特异性强的洗脱,保护蛋白活性。

优势四:“以一当二”——精简纯化流程

更高的选择性和载量意味着可能减少纯化步骤。例如,一个设计精良的多模式步骤,可能同时完成传统上需要“离子交换 + 疏水层析”两步才能达到的效果,缩短工艺时间,提高整体收率,降低生产成本。

博格隆研发数种多模式填料,供广大生物工艺从业者进行选择,包括MMC系列多模式层析填料、MIX-A系列多模式层析填料、Layer系列多模式层析填料。同时,提供填料或者预装柱的形式方便工艺开发或者中试、生产人员进行使用。

应用案例

用Diamond MMC纯化某重组蛋白毕赤酵母发酵液

博格隆纯化解析丨多模式层析:让重组蛋白纯化更高效、更省心!

Fig.1 Diamond MMC层析纯化图谱

• 层析柱:Ezload 50/20 Diamond MMC

• 平衡液:20mM PB、0.4M NaCl,pH6.5

• 洗脱液:20mM PB、1.5M NaCl,pH6.5

• 样品:300mL某重组蛋白毕赤酵母发酵液

博格隆纯化解析丨多模式层析:让重组蛋白纯化更高效、更省心!

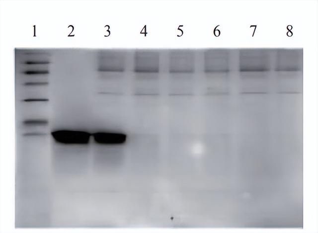
泳道1:Marker 泳道2:洗脱

泳道3:发酵液 泳道4-8:流穿

Fig.2 电泳图

使用 Tips

随着层析介质使用次数的增加,污染物在层析柱上的积累也在不断增加,定期的在位清洗能有效防止污染物的累积,保持层析介质稳定的工作状态。客户可根据使用过程中介质的污染程度确定在位清洗的频率(如果污染较严重,建议每次使用之后都进行在位清洗,以保证结果的可重复性)。

对于不同类型的杂质和污染物建议清洗条件如下:

• 结合比较紧密蛋白的去除:用2~3柱体积的2M NaCl清洗。

• 强疏水性蛋白、沉淀蛋白的去除:先用2~3个柱体积的1M NaOH清洗,然后立即用5~10个柱体积的纯化水清洗。

• 脂蛋白和脂类物质的去除:先用5~10个柱体积的70%乙醇或30%异丙醇清洗,然后用5~10个柱体积的纯化水清洗。也可将上述两种清洗条件结合进行清洗,如用含有1M NaOH的30%异丙醇溶液清洗。

关于博格隆

博格隆成立于 2008年,是一家专注于为分离纯化提供高质量层析介质的高新技术企业,是中国较早具备大规模生产分离纯化介质能力的企业之一。博格隆所提供的产品涵盖亲和层析、离子交换层析、凝胶过滤层析、疏水层析、多模式层析、反相层析等不同类型的纯化介质以及预装柱、层析空柱、细胞培养用微载体,同时提供分离纯化工艺开发服务及填料定制服务。这些产品和服务被广泛应用于抗体纯化、疫苗纯化、胰岛素纯化、质粒纯化、重组蛋白纯化等多个领域。

#层析介质 #层析填料 #分离纯化介质 #重组蛋白纯化 #蛋白纯化 #多模式层析介质

编辑:侯宜均

转载请注明来自海坡下载,本文标题:《蛋白纯化工艺优化(博格隆纯化解析丨多模式层析让重组蛋白纯化更高效更省心)》

每一天,每一秒,你所做的决定都会改变你的人生!

发表评论

快捷回复:

评论列表 (暂无评论,32人围观)参与讨论

还没有评论,来说两句吧...